Em nosso consultório dentário, oferecemos uma ampla gama de procedimentos voltados para implantes e lentes de contato dentais, incluindo facetas em resina, para ajudar a alcançar o sorriso dos seus sonhos.
Trabalhamos com procedimentos estéticos, tais como: Clareamento Dental, Lentes de Contato Dental e Facetas em cerâmica e resina.
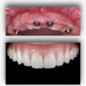
A implantodontia é um procedimento odontológico que envolve a colocação de implantes dentários de titânio no osso maxilar ou mandibular para substituir dentes perdidos. Os implantes proporcionam uma base sólida para a fixação de coroas, pontes ou próteses, restaurando a função mastigatória, estética e saúde bucal do paciente.
Nossa clínica foi fundada com o objetivo de proporcionar um diferencial odontológico, não apenas em termos técnicos, mas também na experiência individual dos pacientes. No Oral Studio, priorizamos um atendimento de alta qualidade e exclusividade.
Buscamos sempre trazer o que há de melhor no mercado odontológico e assumimos a missão de oferecer uma experiência única e transformadora para nossos pacientes. Ao longo dos nossos mais de 13 anos de atuação, construímos uma equipe espetacular no Oral Studio, com profissionais atentos às necessidades de cada paciente em suas especialidades, criando assim uma experiência inovadora e humanizada no mercado odontológico



Copyright 2024. Todos os Direitos Reservados. Oral Studio Sp. Desenvolvido por MRG Digital